Advertisement

Suppresses As Bad News Crossword

Here are some of the images for Suppresses As Bad News Crossword that we found in our website database.

Most importantly Alan suppresses bad smell linked with meat

Most importantly Alan suppresses bad smell linked with meat

Mini Crossword #04 Ashland News Community Supported NonProfit News

Mini Crossword #04 Ashland News Community Supported NonProfit News

Became real as bad news Crossword Clue Answers Crossword Solver

Became real as bad news Crossword Clue Answers Crossword Solver

First Time Ever AI Bad Bots Accounts 51% Traffic Suppresses Human Traffic

First Time Ever AI Bad Bots Accounts 51% Traffic Suppresses Human Traffic

Fox News Crossword 2024 Engage Your Mind Daily

Fox News Crossword 2024 Engage Your Mind Daily

Disappointment Suppresses Woman Reads Bad News Stock Footage Video (100

Disappointment Suppresses Woman Reads Bad News Stock Footage Video (100

Stress suppresses

Stress suppresses

WBEZ s 2024 Chicago news crossword puzzle WBEZ Chicago

WBEZ s 2024 Chicago news crossword puzzle WBEZ Chicago

Binge Drinking Suppresses the Immune System Smithsonian

Binge Drinking Suppresses the Immune System Smithsonian

Vatican suppresses Miles Christi order in Argentina Catholic News Agency

Vatican suppresses Miles Christi order in Argentina Catholic News Agency

Crossword Puzzle The Advance News

Crossword Puzzle The Advance News

Breaking Bad Rating Crossword prntbl concejomunicipaldechinu gov co

Breaking Bad Rating Crossword prntbl concejomunicipaldechinu gov co

Even just one spoonful a day is enough It lowers bad cholesterol

Even just one spoonful a day is enough It lowers bad cholesterol

Even just one spoonful a day is enough It lowers bad cholesterol

Even just one spoonful a day is enough It lowers bad cholesterol

Crossword Puzzle The Advance News

Crossword Puzzle The Advance News

I have bad news for Mr Shortz (from the NYT Letter Boxed game) : r

I have bad news for Mr Shortz (from the NYT Letter Boxed game) : r

VFD Suppresses Willow Way Fire and Rescues Pets Lanier County News

VFD Suppresses Willow Way Fire and Rescues Pets Lanier County News

Crossword clues Courtesy of Bad Film Club The Campus

Crossword clues Courtesy of Bad Film Club The Campus

Multi agency effort suppresses wildfire News daily tribune com

Multi agency effort suppresses wildfire News daily tribune com

Word with Bad or Bugs NYT Crossword Clue

Word with Bad or Bugs NYT Crossword Clue

Fans destroy David Warner s crossword attempt: Funniest thing I ve

Fans destroy David Warner s crossword attempt: Funniest thing I ve

Days Of Our Lives Spoilers: Ari Takes Kate #39 s Advice Chanel Hides News

Days Of Our Lives Spoilers: Ari Takes Kate #39 s Advice Chanel Hides News

Just one spoonful a day is enough It reduces bad cholesterol cleanses

Just one spoonful a day is enough It reduces bad cholesterol cleanses

Mayo Clinic Healthcare expert shares good news and bad news about

Mayo Clinic Healthcare expert shares good news and bad news about

Crossword This Is Bad

Crossword This Is Bad

Bad writers Crossword Clue Answers

Bad writers Crossword Clue Answers

What #39 s caused a mismatch between the starred clues and their answers

What #39 s caused a mismatch between the starred clues and their answers

to be the bearer of bad news but sugar suppresses your immune

to be the bearer of bad news but sugar suppresses your immune

Indian Navy Ensuring No Country Suppresses Our Friendly Nations In Indo

Indian Navy Ensuring No Country Suppresses Our Friendly Nations In Indo

Common Virus Suppresses Immune Response Through IL10/STAT3 Pathway

Common Virus Suppresses Immune Response Through IL10/STAT3 Pathway

Toward Enhancing TS Contrastive Learning A Dynamic Bad Pair Mining

Toward Enhancing TS Contrastive Learning A Dynamic Bad Pair Mining

Heritage Professional Products Group (PPG) on LinkedIn: Overfoaming

Heritage Professional Products Group (PPG) on LinkedIn: Overfoaming

Wild scenes at YouTuber Spanian s kebab shop news com au Australia

Wild scenes at YouTuber Spanian s kebab shop news com au Australia

Wakayama Medical University finds high lactic acid tumor environment

Wakayama Medical University finds high lactic acid tumor environment

Oraticx Achieves Patent for Respiratory Disease Prevention and

Oraticx Achieves Patent for Respiratory Disease Prevention and

Bad news for U S and Ukraine The risk of Ukraine #39 s disintegration has

Bad news for U S and Ukraine The risk of Ukraine #39 s disintegration has

Councilmember Claims DCHS Suppresses Reporting of Grant Misuse After

Councilmember Claims DCHS Suppresses Reporting of Grant Misuse After

East and Southern Africa: Attacks on journalists on the rise as

East and Southern Africa: Attacks on journalists on the rise as

Clifford BattleTechWiki

Clifford BattleTechWiki

News Live Equilibrium (2002) Equilibrium (2002) is a dystopian

News Live Equilibrium (2002) Equilibrium (2002) is a dystopian

Helen Selden BattleTechWiki

Helen Selden BattleTechWiki

CNDP2 suppresses obesity by catalyzing the synthesis of Lac Phe IMAGE

CNDP2 suppresses obesity by catalyzing the synthesis of Lac Phe IMAGE

Greg Lloyd BattleTechWiki

Greg Lloyd BattleTechWiki

Abdulsalam Ogueyi Halima QUANTUM ENERGY SPRAY BOTTLE PRICE: 20 400

Abdulsalam Ogueyi Halima QUANTUM ENERGY SPRAY BOTTLE PRICE: 20 400

⚠️ The Truth About Vitamin D ☀️💊 Stop The Sickness Facebook

⚠️ The Truth About Vitamin D ☀️💊 Stop The Sickness Facebook

Shrapnel (magazine)/Issue 23 BattleTechWiki

Shrapnel (magazine)/Issue 23 BattleTechWiki

Medical Wellness Center Pharmacy ( starmedph) • Instagram photos and

Medical Wellness Center Pharmacy ( starmedph) • Instagram photos and

21st Centauri Lancers Command Lance BattleTechWiki

21st Centauri Lancers Command Lance BattleTechWiki

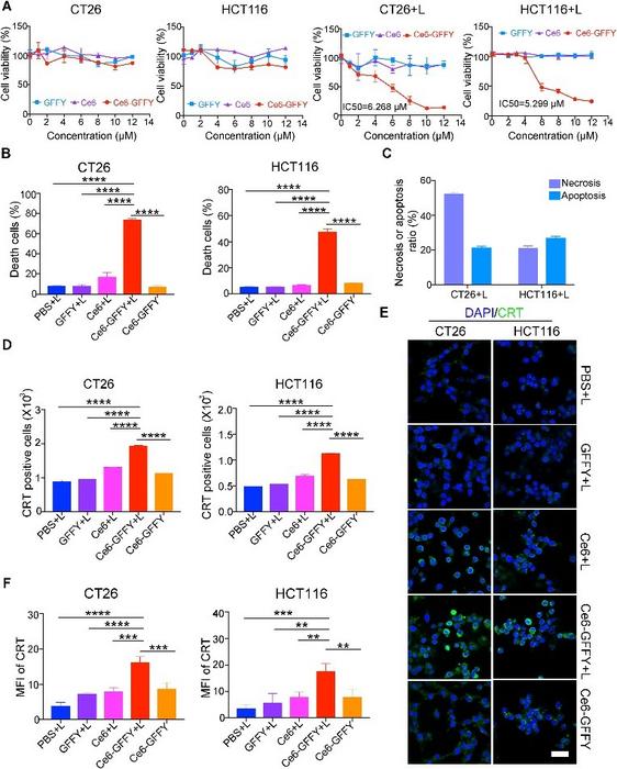
Ce6 GFFY suppresses the proliferation of colorectal cancer cells IMAGE

Ce6 GFFY suppresses the proliferation of colorectal cancer cells IMAGE

Spirulina: Brain Body Strengthener

Spirulina: Brain Body Strengthener

Arginase I Suppresses IL 12/IL 23p40 Driven Intestinal Inflammation

Arginase I Suppresses IL 12/IL 23p40 Driven Intestinal Inflammation

Inhibition of aldehyde dehydrogenase 2 suppresses cocaine seeking by

Inhibition of aldehyde dehydrogenase 2 suppresses cocaine seeking by

Neuth Anti Hair Loss Scalp Balancing Shampoo ZYNAH

Neuth Anti Hair Loss Scalp Balancing Shampoo ZYNAH

️Cholesin a newly discovered gut hormone SUPPRESSES cholesterol

️Cholesin a newly discovered gut hormone SUPPRESSES cholesterol

Causes and Impacts of Inflation PPTX

Causes and Impacts of Inflation PPTX

Understanding Chromokopia Part I The Spectrum

Understanding Chromokopia Part I The Spectrum

Bromley Islamic Centre Bromley

Bromley Islamic Centre Bromley

Inhibition of PHB1/PHB2 suppresses atherosclerotic plaque formation by

Inhibition of PHB1/PHB2 suppresses atherosclerotic plaque formation by

Maryruth Organics Pau Darco Blend By Herbal Pau Darco Tincture

Maryruth Organics Pau Darco Blend By Herbal Pau Darco Tincture

Why Does Cold Water Taste Better Than Warm Water? ScienceABC

Why Does Cold Water Taste Better Than Warm Water? ScienceABC